В современной стоматологии все чаще отдают предпочтение к лечению зубов с применением оптических систем. Почему? Ответ очевиден: любой вид стоматологического вмешательства требует качественной визуализации операционного поля. Согласитесь, чем лучше видно, тем более четко и качественно будет проведено лечение. Чем лучше и полноценнее врач видит объект лечения, все тонкости строения и локализации отдельных элементов зуба, тем эффективнее будет выполнено вмешательство.
Оптические системы (бинокулярное увеличение и микроскопное) сами по себе не гарантируют успех лечения, так или иначе все равно лечение выполняет врач, но наличие у него таких возможностей «зрения» в десятки, а то и сотни раз повышает вероятность успеха.
Стоматологический операционный микроскоп на сегодняшний день позволяет дает 3.0 – 30.0-кратное увеличение объекта, помимо этого микроскопы оснащены мощными источниками света, а это в свою очередь дает огромное преимущество врачу при работе в глубоких структурах зуба (например, эндодонтическое лечение или апикальная микрохирургия).
Например, при выполнении эндодонтического лечения с применением микроскопа врач может визуализировать пропущенные ранее корневые каналы, визуально оценить строение каналов, возможное наличие сломанных инструментов и пути их извления/прохождения, четко и по месту закрыть имеющуюся перфорацию корня/зуба, оценить весь необходимый объём очищения системы корневых каналов от остатков пульпы, предыдущих пломбировочных материалов и многое другое. Более того прекрасный обзор позволяет работать с минимальными иссечением здоровых тканей, но не упуская при этом даже самых крошечных очагов инфекции. Пломбировка корневых каналов при обзоре в микроскоп будет более объёмная - заполняющая все выступы и поднутрения в корневой системе. При восстановлении зуба композитной реставрацией с использованием микроскопа можно максимально точно оценить качество постановки пломбы и ее полировки - а это залог успеха и долголетия таких зубов.
|
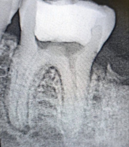
1) до перепломбировки; |
|
|
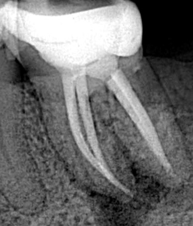
2) перепломбировка корневых каналов под микроскопом; |
|
|
3) что видит врач под микроскопом. |
Мы будем рады помочь вам, используя все возможные современные технологии в лечении и сохранении ваших зубов!
Врач стоматолог УЗ «4-я ГКСП» Адамчик Юлия Анатольевна





